Picture

Picture

Wednesday, July 10, 2013

February

I decided that Facebook and Blogger are my go-tos when it comes to wanting to procrastinate something.  I submit that I haven't posted in a long time because I no longer am avoiding studying!

So here's a brief catch-up for February.  I got in a bunch of snorkeling, and a lot of beach time.  However, considering that February was actually the "cold" season over here, I didn't do too much of that.  Being the festive person that I am, I love holidays, even if I have a slight distaste for Valentine's.  I directed my holiday energies into baking this month, and I even got sucked into Pinterest for like 5 minutes.  That's how I managed to pull together this overly complex Valentine's recipe!


That's right, red velvet lava cupcakes with cinnamon buttercream frosting.  I cheated and used a box mix, but I did make my own homemade ganache.  Yum.  Baking is one of my favorite past times, but I don't do it much unless I know I can pawn stuff off on the people at work!  They seemed the enjoy the cupcakes, and I got a little treat of my own that day.

Roses made from duct tape.  I also was treated to a very fancy, very nice dinner by the boat yard.  Cute!
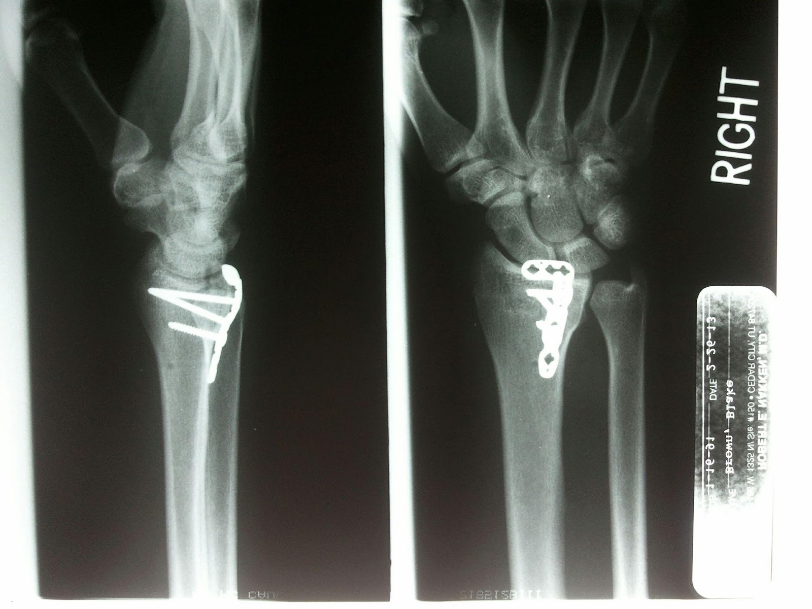
Unfortunately Valentine's got a bit overshadowed by the news that one of my brothers had fallen from the roof and shattered his wrist.  He went to the ER, and was told he needed surgery.  Funny guy.

To be perfectly honest, I'm a little bit surprised this was the first time he has ended up in the hospital for self-inflicted injuries.  I was just glad he was okay, and I think he's glad he can get back to weight lifting.  Haha.